
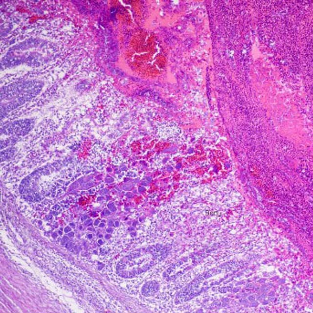
Navigating the Coccidiosis Challenge
In the quest for poultry health and feed conversion optimization, broiler farmers currently rely heavily on coccidiostats in their diets. However, the presence of unapproved substances, veterinary drug residues and chemical contaminants in the food industry is a growing concern and a potential threat to public health[1]. On the global financial landscape, coccidiosis has been estimated to have an annual financial impact of 2-3 billion euros on commercial birds[2] with costs potentially exceeding 0.04 euros per bird[3]. These staggering figures underscore the pressing need for collaborative efforts in understanding, mitigating, and finding sustainable solutions to the coccidiosis challenge faced by the poultry industry worldwide.

Enhancing Gut Integrity
To address the challenges associated with coccidiosis, the potential of antimicrobial lipids, such as fatty acids and monoglycerides, as antibacterial agents can be considered. These compounds show promise by destabilizing bacterial cell membranes, resulting in a broad spectrum of direct and indirect inhibitory effects[4].
Monoglycerides of short and medium chain fatty acids, such as butyric acid (C4), caprylic acid (C8), caproic acid (C10), and lauric acid (C12), potentially providing systemic and broad-spectrum activity in the gut, aiming to contribute to a reduction in disease incidence, thereby aiming to indirectly minimize costs associated with veterinary interventions. Effective management of pathogen pressure is highlighted as a potential key benefit that can help promote the overall well-being of the poultry flock.
To actively support the balance of the gastrointestinal microflora, a combination of probiotics and prebiotics is beneficial. Bacillus velezensis (formerly B. subtilis) has gained widespread popularity as a probiotic for poultry, known for its multiple beneficial effects ranging from improved gut barrier integrity, mucosal immunity, digestive enzyme activities, and nutrient metabolism[5].

When combined with prebiotics, such as yeast, it creates an environment that promotes the growth and activity of these beneficial microorganisms and enhances the competitive exclusion of pathogens for adhesion sites. This symbiotic relationship, in turn, positively impacts the gastro-intestinal-tract (GIT) by promoting a balanced microflora, strengthening the intestinal barrier and enhancing nutrient absorption. This optimization of the GIT is designed to potentially support improvements in digestion and nutrient absorption, in line with desired poultry health outcomes.
NovoVital emerges as a promising solution harnessing the potential of mono- and diglycerides of short- and medium-chained fatty acids.
Synergistically, Bacflora BR, with pro- and prebiotics not only fosters a conducive environment for beneficial bacteria but also bolsters the overall health of the gastrointestinal tract.
Our Solution
Bacflora® BRThe Synbiotic for a perfect gut
- [1] Martins et al. 2022
- [2] Noack, Sandra; Chapman, H. David; Selzer, Paul M. (2019): Anticoccidial drugs of the livestock industry. In: Parasitology research 118 (7), S. 2009,2026. DOI: 10.1007/s00436-019-06343-5.
- [2] Peek, H. W.; Landman, W. J. M. (2011): Coccidiosis in poultry: anticoccidial products, vaccines and other prevention strategies. In: The veterinary quarterly 31 (3), S. 143,161. DOI: 10.1080/01652176.2011.605247.
- [3] Blake, Damer P.; Knox, Jolene; Dehaeck, Ben; Huntington, Ben; Rathinam, Thilak; Ravipati, Venu et al. (2020): Re-calculating the cost of coccidiosis in chickens. In: Veterinary research 51 (1), S. 115. DOI: 10.1186/s13567-020-00837-2
- [4] Yoon, Bo Kyeong; Jackman, Joshua A.; Valle-González, Elba R.; Cho, Nam-Joon (2018): Antibacterial Free Fatty Acids and Monoglycerides: Biological Activities, Experimental Testing, and Therapeutic Applications. In: International journal of molecular sciences 19 (4)
